(点击图片,加入移民交流群)
(点击图片,加入移民交流群)
//前言//
在现在这个特殊时期,
一旦有咳嗽和呼吸困难等症状的出现,
不免都会害怕自己是否感染了新冠。
但近日,
澳洲有一家人,
全部出现了这种症状,
却不是新冠惹的祸。
#01:
一家五口全部中招
澳洲好不容易扛过了流感和新冠的高发期,迎来了清爽的夏季,满池清凉的水似乎就在诱惑我们跳下去游个泳降降暑。然而就是这样一池泳池水,却会给我们带来一场可怕的疾病。
在前几天,亚太呼吸学会发布了一起新近病理报告,记录了一名17岁的男子出现了低烧、咳嗽和逐渐加重的呼吸困难的病症,其一家五口全部严重感染。
(点击图片,加入移民交流群)
(图片来源:wiley)
在一开始,一对着急的父母带着17岁的儿子冲进了急诊室,持续低烧、咳嗽和逐渐加重的呼吸困难,越看越像是新冠的感染症状。
据医生了解,这名男孩在10天前进行过一次踝关节重塑的手术,在那之后就出现了这种不断恶化的病情。
在急忙给这名男孩做了全套检查之后,发现这名男孩血氧极低,导致心跳过快,病情极度危险。
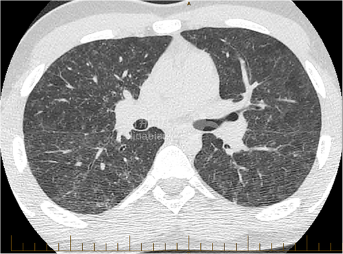
并且CT显示双侧对称弥漫性斑片状磨玻璃影(肺部明显受损)并伴有小体积腺病,然而未见微结节。
(点击图片,加入移民交流群)
(图片来源:wiley)
然而,没过多久,这名17岁患者的父母、弟弟还有祖母都陆续出现了咳嗽和不同程度的呼吸困难,CT检测也出现了类似的症状,对该家族进行了检测后发现免疫功能正常,也无任何残留的呼吸道症状。
医生立马引起了警惕,
这怕又是一起传染性疾病。
在对这家人进行了询问后,发现这些症状在他们身上都已经出现了几个月了!
母亲连续咳嗽了3个月;
14岁的弟弟也开始咳嗽,并伴随呼吸困难;
就连没跟他们一起住的祖母和父亲也病倒了…
这到底是怎么回事?
(点击图片,加入移民交流群)
(图片来源:wiley)
出于这种紧急情况,医院把能想到的病毒、病菌全部检查了一遍,发现全部结果都呈阴性!并不是这些病毒病菌作祟。
这种棘手的情况顿时成为了医院的大事,不明传染源的超强传染力的疾病是会给社会带来重大危害的。
(点击图片,加入移民交流群)
(图片来源:wiley)
#02:
病情真相
出于根本无法检测出的原因,院方有了一个大胆的猜想:“有没有可能传染源就在这家人的居所里?”。
在职业卫生人员一进他们家的首要反应就是——好潮湿,往里走了走才发现,这家里有一个室内游泳池,最近刚刚更换了清洗的卫生措施,已从基于氯的卫生设施转换为基于非氯的渗透系统(氧化物+臭氧)。
(点击图片,加入移民交流群)
(图片来源:9news)
这瞬间就让卫生人员的心里有了底,他们针对室内空气进行测试,在空气中检测出大量喜爱在湿热的地方繁殖的鞘孢菌(Scedosporium)和枝孢菌(Cladosporium)。
(点击图片,加入移民交流群)
(图片来源:springerlink)
而在游泳池水里检测出来的分枝杆菌(Mycobacterium intracellulare)也是导致他们患病的罪魁祸首之一,泳池里的水不干净,蒸发出的水蒸气让霉菌在空气中繁殖,被这一家人吸入肺中...
这就是热浴盆肺病
Hot Tub Lung,
这种病对人体造成的损伤是永久性的...
(点击图片,加入移民交流群)
(图片来源:yahoo)
这是今年的首要例,但是在2000年的澳洲官方统计中,各州都有出现热浴盆肺病,维州和新州是病情最为频发的地方。
由于分歧杆菌特殊的传播方式,让人们防不胜防,鸟形分枝杆菌复合体(MAC)是分歧杆菌中特殊的一种,它会附在气泡的表面,跟随上升并且雾化,传播在空气中。
发冷发热、呼吸困难、疲劳、夜间盗汗等等症状都是感染后可能出现的症状。
(点击图片,加入移民交流群)
收关
所以可能在你舒舒服服泡澡的时候、
蒸桑拿的时候、
游泳的时候都有可能无意吸入分歧杆菌...
但不用担心,
只要做好室内通风的话,
病菌失去载体,
自然就危害不到我们了。
长篇大论看起来太麻烦?
“澳微”视频号上线了!
半分钟纵览奇闻异事、新闻资讯、美食美景,
还有各种你不知道的澳洲冷知识。

(点击图片,加入移民交流群)
移民
要闻























