17岁,青春美好的年纪,朝气蓬勃,对未来满怀憧憬,但有一位17岁少年却已经躺在了医院里,每呼吸一次对他来说都是一种折磨。
这是一个加拿大的17岁少年,他乐观,开朗,对任何事物都充满了好奇心,也正是因为这份好奇心,他接触到了电子烟...

(点击图片,加入移民交流群)
他对电子烟从好奇上升到痴迷,每天不论在做什么,手中必须握着电子烟,无时无刻都在吞云吐雾。
就这样,短短5个月内,他开始感觉自己的身体越来越沉重,呼吸困难,经常头晕目眩。

(点击图片,加入移民交流群)
他没有将这些情况告诉父母,依然沉迷在电子烟带来的快感中,突然的一日之内,他晕倒在了自家的客厅里...
(点击图片,加入移民交流群)
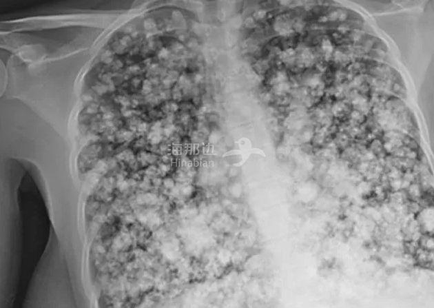
被送往医院检查后,医生发现,他的肺部已经破损严重,新闻里用了一句形容词:Popcorn Lung爆米花肺部...从拍摄的X光片中同样可以清晰的看到这一点。
(点击图片,加入移民交流群)
他的整个肺部全都是炎症形成的斑点,这些斑点的存在阻碍了他的呼吸功能,也让肺部失去了净化功能。想要勉强恢复基本的呼吸,他必须接受器官移植,也就是更换肺部,还没等他的父母感到庆幸,医生又追加了一句,因为他的病情严重,免疫系统已经遭到破坏,即使更换了肺部,他最多也只能延长6年的生命。
(点击图片,加入移民交流群)
就这样,一个17岁的少年浑身插满了各种针管,虚弱的躺在病床上,每一次呼吸都会给身体带来极大痛苦。仅用了5个月就彻底摧毁他健康的就是电子烟,5个月内他因为频繁更换各种口味的电子烟油,大量吸食,甚至为了追求刺激在烟油中添加了THC成分。
(点击图片,加入移民交流群)
THC就是大麻含有的成分,提炼的THC等于将大麻精炼...本就对人体可以造成伤害,再加上电子烟的化学成分,5个月时间让他的肺部彻底报废。电子烟是近几年来较流行的产品,吸引了无数年轻人的喜爱,还有不少人打着“戒烟”“健康”的理由,吸电子烟。而人们不知道的事,电子烟的危害却比真正的香烟更大!

(点击图片,加入移民交流群)
美国伊利诺伊州一名18岁的男孩Adam Hergenreder同样是电子烟的受害者,他因为大量吸食电子烟,肺部受到严重影响,医生表示,虽然他只有18岁,但是肺部的功能已经如同一个70岁的老人。

(点击图片,加入移民交流群)
Adam原本是一个很有天赋的摔跤运动员,教练对他的未来十分看好,可惜他突然沾染上了电子烟并很快成瘾。训练、生活,他的手边就没有离开过电子烟,一直在吞吐着烟雾,从16岁到18岁,他的身体状况越来越差,后来甚至无法完成日常的训练。住院之前,他发现自己每一次呼吸都会导致肺部刺痛,无法剧烈活动,还会出现呕吐和眩晕等症状,检查后才发现,他的肺部已经遍布白点...
(点击图片,加入移民交流群)
一个前途无量的运动员,就这样将职业生涯葬送在了电子烟上面...而同样的情况在全寰球范围内不知这一个案例。18岁少女Maddie Nelson也是电子烟的受害者,她接触电子烟只是觉得它很酷,她抽的都是不含有尼古丁成分的烟油,只是为了享受那种吞吐的感觉。
(点击图片,加入移民交流群)
在她的社交媒体上也能看到很多与电子烟有关的照片,她可能没有想到,就是她认为炫酷的东西,一点一点摧毁了她的肺部。
(点击图片,加入移民交流群)
和Adam一样,她因为长时间吸食电子烟,肺部遍布白点,呼吸困难被送进了重症监护室。原本阳光的少女现在变得憔悴,虚弱...
(点击图片,加入移民交流群)
众多案例摆在眼前,让人们开始正视电子烟带来的危害。这或许并不是什么戒烟神器,也不像宣传中说的那样健康无害。自从2003年电子烟问世后,就被贴上了“有助戒烟”、“电子烟无瘾”等标签,靠着这样的噱头和广告语,电子烟的销量节节攀升,根据《2017年寰球烟草发展报告》数据,2017年,全球电子烟市场规模达到120亿美金。但是可能你有所不知,你本来为了家人和孩子健康转去吸的“电子烟”,其实比真的香烟,毒性有增无减。这可不是什么烟民解脱烟瘾的大道,却是一条通往噩梦的歧途!要知道,无论哪种电子烟,都是由这三个部分组成的:含有烟油的烟弹、雾化器和电池。
(点击图片,加入移民交流群)
虽说与传统香烟相比,由于电子烟的特性是“加热不燃烧”,烟油中也不含危及健康的焦油、一氧化碳等物质,所以普遍认为,它对人体伤害比较小,甚至有人错误地认为:电子烟可以帮助戒烟。